Asian Scientist Magazine • 25th November 2025 Scientists Redirect Body’s Cleanup Crew To Fight Disease Crunch, a synthetic protein, turns phagocytes that typically digest dying cells to target harmful ones in cancer and autoimmune disorders.
Asian Scientist Magazine • 28th October 2025 Scientists Recreate Embryo Implantation In The Lab A lab-based model that mirrors how embryos embed into the uterus could help unravel why pregnancies fail at this crucial stage.
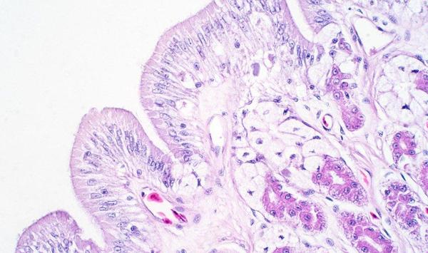
Asian Scientist Magazine • 22nd September 2025 How Gut Cells Chat Like Neurons Telocytes stretch fine extensions to pass cues to intestinal stem cells.
Asian Scientist Magazine • 24th January 2025 How An Electrified Protein Aids Sperm Maturation Voltage changes in the cell membrane activates a protein essential for guiding sperm development.
A*STAR Research • 24th July 2025 Powering The Changemakers This year, the National Research Foundation Singapore is empowering three A*STAR researchers to push the boundaries of science.
A*STAR Research • 11th March 2025 Tiny Systems, Big Impact Combining engineering precision and data-driven insights, Charmaine Chia builds miniature technologies that unlock groundbreaking solutions for biotechnology.
A*STAR Research • 9th October 2024 Turning Up The Volume Of Quieter RNAs A new RNA sequencing approach allows scientists to hone in on rare, often obscured transcripts that reflect the finer details of cellular function.
Asian Scientist Magazine • 8th March 2023 Trailblazing Women In Science To mark this year’s International Women’s Day, we spoke to five women scientists from Asia who are breaking barriers and leading their fields. They also have a message for younger women researchers.
A*STAR Research • 15th March 2024 Powered By Sunshine To power our future cities, A*STAR Scholar Celine Yeung is exploring ‘artificial leaf’ devices that transform solar energy into sustainable fuels.
Asian Scientist Magazine • 6th December 2023 Building Scientists For Bangladesh Microbiologist Senjuti Saha and her team are empowering the next generation of scientists and community leaders in Bangladesh.